“我终于可以睡个安稳觉了,你们的技术真高超!”李大爷(化名)做完手术后的第一天,佩戴腰围就能下床活动,腿部疼痛的症状也消失了,他对查房的医生们伸出大拇指连连称赞。

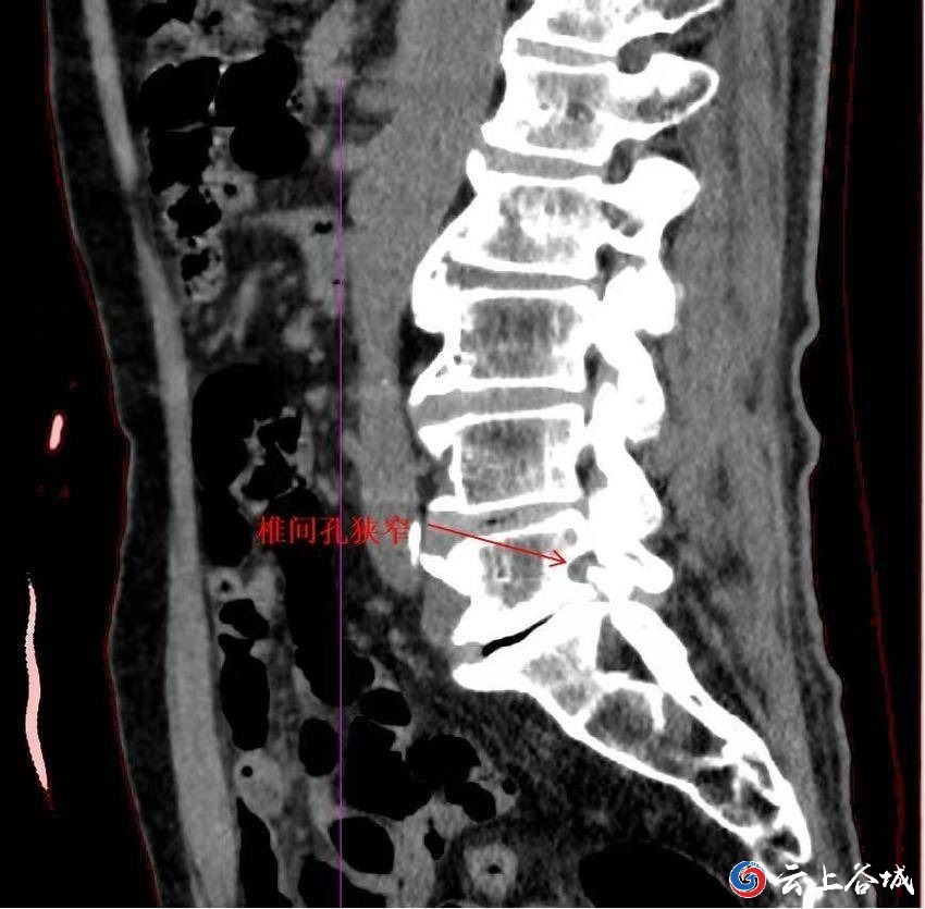
CT提示1:检查发现侧隐窝狭窄、小关节增生等。
近日,谷城县人民医院骨科Ⅰ病区脊柱微创团队为患有“腰椎远端综合征”的李大爷进行了UBE脊柱内镜微创手术,成功解决了困扰患者长达数月的病痛,术后,李大爷当天疼痛消失、行走如初。
李大爷现年78岁,因长期劳累导致腰痛、左下肢放射痛等有3个多月。经多处求医未果,症状逐渐加重,走路困难,特别是夜间疼痛根本无法入睡,严重影响生活,遂到县人民医院骨科就诊。

MRI提示:检查发现侧隐窝狭窄、小关节增生等。
骨科团队通过细致询问病史、体格检查,并结合X线片、CT和磁共振结果,组织全科讨论,诊断患者为“腰椎远端综合征”。这是骨科罕见的病例,该病与腰椎间盘突出压迫神经所表现的症状非常相似,但治疗方法却截然不同。

县人民医院骨科团队经过与患者及家属充分沟通后,决定实施全麻下的UBE脊柱内镜手术。术中仅通过两个1厘米的小切口,在脊柱内镜下精准减压,创伤小,术中出血约20ml。术后,患者非常满意效果。
临床实践证明,UBE脊柱内镜手术创伤小、恢复快、并发症少。县人民医院骨科Ⅰ病区常规开展的UBE技术下的颈椎、腰椎疾病手术技术成熟,越来越被患者所接受。
下一步,县人民医院将持续精进诊疗技术,提升专业服务能力,探索实践更加微创、甚至无创的诊疗方式,为患者健康提供贴心服务。
通讯员:何继海、陈旺
编辑:邓植元|审核:陈声权 琚晓青


